Everything you need for your beautiful smile
Comprehensive College Station Dental Services
Personalized dental care for all ages
At Southern Smiles Family & Cosmetic Dentistry, we’re committed to providing personalized dental services in College Station. We combine advanced technology with a patient-first approach to create a positive experience for all ages.
Our care team is dedicated to building long-term relationships with patients, focusing on trust, comfort, and individualized care.
Need help in a dental emergency?
Dental emergencies can’t wait, and neither should you. Our team is ready to provide emergency College Station dental services, ensuring quick relief and treatment when you need it most.
Our Services
General Dental Care
Maintaining your dental health is essential for your overall well-being. Our general dental services include routine cleanings, exams, and preventive treatments designed to keep your smile healthy for years to come. We take the time to understand your needs and customize your care, ensuring you receive the best preventive care possible.
Restorative Procedures
If you’re dealing with damaged or missing teeth, our restorative treatments offer the solutions you need to regain full function and confidence in your smile. We provide crowns, bridges, dental implants, and other advanced procedures to restore your teeth and oral health. Our focus is on creating natural-looking smiles that last.
Cosmetic Enhancements
Whether you’re looking to brighten your smile or completely transform it, our cosmetic services can help. From teeth whitening to veneers, we offer a range of options to enhance the beauty of your smile. We tailor every treatment to your aesthetic goals, ensuring you leave with a smile you love.
Problems We Address
Toothaches & Cavities
Missing Teeth
Broken or Chipped Teeth
Gum Disease
Stained Teeth
Sleep Apnea
Smile Gallery

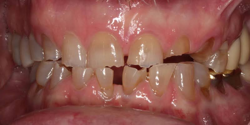
Anterior Crowns

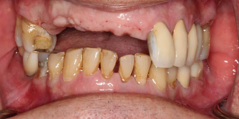
Implants

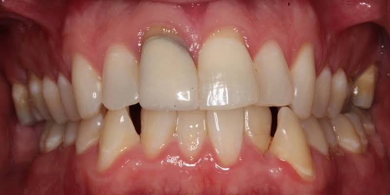
Veneers and Crowns
What To Expect
Care for the whole family
We treat patients of all ages. Our goal is to create lasting relationships and ensure every family member feels supported.
Relationship-driven dentistry
Many new patients come to us through referrals and 5-star reviews, a testament to our highly personalized approach.
No more dental anxiety
We prioritize your comfort with a positive atmosphere and the friendliest team, making your dental experience stress-free.
Paying for care at Southern Smiles Family & Cosmetic Dentistry
Whether you’re using insurance or paying out of pocket, we’ll work with you to make sure you feel confident and informed every step of the way. Call our team with any questions at (979) 846-7799.
Your kind words mean everything
Request your appointment today
We invite you to experience our one-of-a-kind dental home where exceptional care is the standard. New patients of all ages are always welcome.
Hours
Monday–Friday: 8am–5pm
Two Fridays a Month: 8am–2pm
